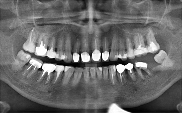
Панорамний знімок зубів

300 грн

1
(100+ відгуків)

Середній рейтинг

rengen

У нашій клініці виконуються кілька видів рентгенологічних знімків:
• Знімок із прикусним фокусуванням
• Оклюзійний (піднебінний) знімок
• Компʼютерна томографія 3D знімок
• Панорамний знімок

Запишіться на консультацію
(073) 028-80-08
Панорамний знімок зубів

Рентген

Правильно поставлений діагноз – запорука швидкого, ефективного лікування. Це твердження актуальне для всіх сфер медицини, в тому числі і стоматології. Ставити точний діагноз і виявляти приховані патології фахівцям клініки «Садаф-Дент» допомагає рентгенологія. На знімку буде видно прихований карієс, аномалії розвитку зубів, патології скронево-нижньощелепного суглоба, вогнища запалення в кореневих каналах і ін. Рентген обов’язково проводиться при підозрах на перелом, при наявності зубів, які так і не прорізалися. Робиться знімок і при ортодонтичному лікуванні, дозволяючи стоматолога побачити, наскільки щільно і якісно виконана пломбування кореневого каналу. За допомогою рентгена контролюється процес розвитку запальних реакцій, на підставі чого коригується лікування.

Patient beautiful girl is holding an x-ray of her teeth. medicine and dentistry concept.
Послуги

Ознайомтеся з повним спектром сучасних стоматологічних послуг

Ортодонтія

Брекет-системи, Корекція прикусу

Імплантологія

Установка імпланта

Естетика

Відбілювання зубів, 'Magic Smile'

Ортодонтія

Брекет-системи, Корекція прикусу

Імплантологія

Установка імпланта
Безпечне та безболісне видалення зубів досвідченими лікарями.

Видалення зуба

Рентген та діагностикаЦіна
Прицільний внутрішньоротовий знімок (до 3 зубів)200 грн
Ортопантомограма400 грн
КТ верхньої і нижньої щелепи (спец. ціна)950 грн
КТ верхньої щелепи450 грн
КТ нижньої щелепи450 грн
КТ сегмента350 грн

Рентген зубів

Рентген зубів – процедура, не надає негативного впливу на стан організму пацієнта. Тому, якщо в ньому є необхідність, його можна проходити без жодних побоювань і з тією періодичністю, яка потрібна для діагностування і лікування патології. Вагітність – відносне протипоказання. Повідомте про своє становище стоматолога перед процедурою.

Patient beautiful girl is holding an x-ray of her teeth. medicine and dentistry concept.
x

SadafDent — сучасна стоматологічна клініка, що надає професійне лікування зубів, імплантацію, ортодонтію та естетичну стоматологію з використанням передових технологій.

Зв’язатися з нами

Адреса:

вул. О. Єфремова 8а, оф. 176
(Метро Академмістечко)

Телефон: (073) 028-80-08

Графік роботи

Понеділок-субота:
09:00-21:00

Неділя:

10:00-20:00