Первинна консультація

500 грн.

1
(100+ відгуків)

Середній рейтинг

root-canal

Регулярно звертаючись до стоматологів клініки «Садаф-Дент», ви зможете уникнути тривалого, складного і витратного в матеріальному плані лікування запущених форм карієсу, зможете зберегти здоров’я зубів і красу посмішки.

 

Запишіться на консультацію
(073) 028-80-08
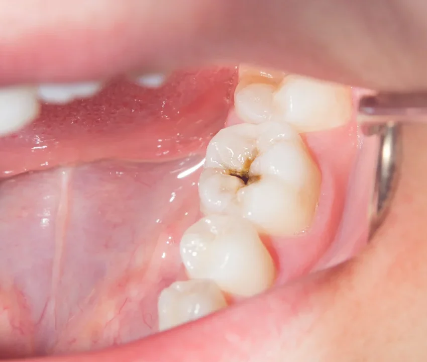
Лікування карієсу, каналів, видалення нерва

Терапевтична стоматологія

Карієс – небезпечне стоматологічне захворювання, що приводить до втрати зуба. Але в нашій стоматологічній клініці його лікують якісно і з мінімальним дискомфортом для пацієнта. В роботі використовується обладнання світових брендів, надійні і безпечні матеріали, передові технології. Все це дозволяє ефективно лікувати карієс будь-якої складності. Високочутливі прилади ідентифікують патологію на стадії граничного стану емалі.

Ми також проводимо профілактичні процедури для попередження розвитку карієсу і пародонтозу. Ми навчимо вас правильно чистити зуби, підкажемо харчування, що зводить до мінімуму вміст у слині стрептококів і лактобактерій, що провокують зростання каріогенних бактерій.

cavity
Послуги

Ознайомтеся з повним спектром сучасних стоматологічних послуг

Ортодонтія

Брекет-системи, Корекція прикусу

Імплантологія

Установка імпланта

Естетика

Відбілювання зубів, 'Magic Smile'

Ортодонтія

Брекет-системи, Корекція прикусу

Імплантологія

Установка імпланта

Ціни

ТерапіяЦіна
Консультація та діагностика
Первинна консультація500 грн
Розширена консультація (КТ, ОПТГ, ТРГ)1 500 грн
Огляд та довідка500 грн
Знеболювання
Аплікаційна анестезія100 грн
Провідникова / інфільтраційна300 грн
Лікування карієсу
Пломба (початковий)1 700 грн
Пломба (середній)2 100 грн
Пломба (глибокий)2 700 грн
Реставрація 1 рівень2 200 грн
Реставрація 2 рівень2 600 грн
Ендодонтія
Повне лікуваня зуба
1 канал
6 000 грн
Повне лікування зуба
2 канали
6 500 грн
Повне лікування зуба
3–4 канали
8 900 грн

Чому карієс такий небезпечний?

Карієс в стоматологічній практиці є одним з найбільш поширених захворювань зубів. Він вражає тверді тканини, емаль, дентин. Рання стадія патології проявляє себе як біла пляма на поверхні зуба, яке поступово жовтіє, а потім знаходить характерний темно-коричневий відтінок. Поступово карієс поширюється вшир і в глибину.

Це патологічний процес, що розвивається досить повільно (виняток – карієс молочних зубів). Регулярне звернення до стоматолога за профілактичними оглядами дозволить виявити його на ранніх стадіях, вилікувати легко і безболісно. Запущені стадії карієсу викликають запалення м’яких тканин (пульпіт), нерва. У підсумку потрібно більш складне лікування з депульпірованія і пломбуванням каналів зуба.

cavity-background
x

SadafDent — сучасна стоматологічна клініка, що надає професійне лікування зубів, імплантацію, ортодонтію та естетичну стоматологію з використанням передових технологій.

Зв’язатися з нами

Адреса:

вул. О. Єфремова 8а, оф. 176
(Метро Академмістечко)

Телефон: (073) 028-80-08

Графік роботи

Понеділок-субота:
09:00-21:00

Неділя:

10:00-20:00